Metamorfozy
Korony i licówki wykonujemy przy użyciu skanera cyfrowego MEDIT i700, w systemie CAD/CAM - współpracujemy z najlepszymi laboratoriami techniki dentystycznej (protetyki) w Polsce. Wykonujemy korony Cerkon LAVA, IPS Prime, IPS eMAX, Vita ENAMIC
Stosujemy najlepsze systemy implantologiczne Dentsply Sirona oraz STRAUMANN. Zabiegi wykonuje specjalista chirurgii szczękowo-twarzowej (drugi stopień specjalizacji oraz doktorat z zakresu chrurgii szczękowo-twarzowej)
Protetyka



Rekonstrukcja braku zębów z zastosowaniem implantów oraz koron ceramicznych
Rekonstrukcja braku zęba z zastosowaniem implantu oraz korony cyrkonowej

Rekonstrukcja koronami cyrkonowymi
Rekonstrukcja zębów koronami PMMA
Poprawa estetyki koron przednich z zastosowaniem koron cyrkonowych

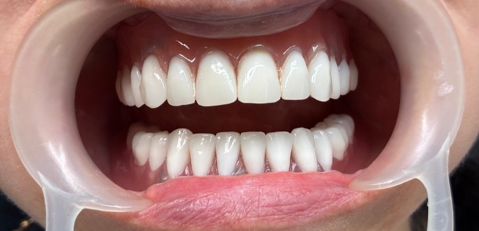
Rekonstrukcja braku zębów koronami ceramicznymi
Zmiana korony na siekaczu centralnym celem poprawy estetyki
Korona cyrkonowa z indywidualizacją
Korony ceramiczne
Korony PMMA

Poprawa estetyki zębów z zastosowaniem koron cyrkonowych cyfrowych pełnoceramicznych
Implanty
Rekonstrukcja All-on-4
Rekonstrukcja All-on-4
Rekonstrukcja braku zębów z wykorzystaniem pracy ALL-ON-4
Rekonstrukcja braku zębów z zastosowaniem implantów i protez całkowitych ALL-ON-4
Korony cyfrowe LAVA
Korony cyrkonowe
Uzupełnienie braków zębów mostami porcelanowymi


Rekonstrukcja braku zębów z zastosowaniem implantów i protez całkowitych ALL-ON-4


Utrata fragmentu kości i zębów po urazie. Rekonstrukcja z zastosowaniem implantów oraz koron cyrkonowych na łącznikach cyrkonowych indywidualnych
Rekonstrukcja bezzębia w żuchwie za pomocą pracy protetycznej wpinanej na lokatory "All on four" (osadzone na 4 implantach)
Rekonstrukcja braku zębów z zastosowaniem implantów i koron ceramicznych

Rekonstrukcja bezzębia w żuchwie za pomocą pracy protetycznej wpinanej na lokatory "All on four" (osadzone na 4 implantach)
Rekonstrukcja bezzębia w żuchwie za pomocą pracy protetycznej wpinanej na lokatory "All on four" (osadzone na 4 implantach)
Deficyt kości szczęki zrekonstruowany przeszczepem talerza kości biodrowej, następnie 6 implantów oraz korony pełnoceramiczne cyrkonowe LAVA (pojedyncze)
Proteza całkowita wpinana na lokatory na implantach
Jednoczesna implantacja w całkowitym bezzębiu

Wszczepienie implantów

Rekonstrukcja bezzębia mostami ceramicznymi na implantach
Rekonstrukcja braku zębów z zastosowaniem implantów i koron ceramicznych
Rekonstrukcja braku zębów z zastosowaniem implantów i koron ceramicznych
Rekonstrukcja braku zębów z zastosowaniem implantów oraz protezy wpinanej na lokatorach


